Crowns and Bridges

Crowns and Bridges


Understanding Crowns and Bridges

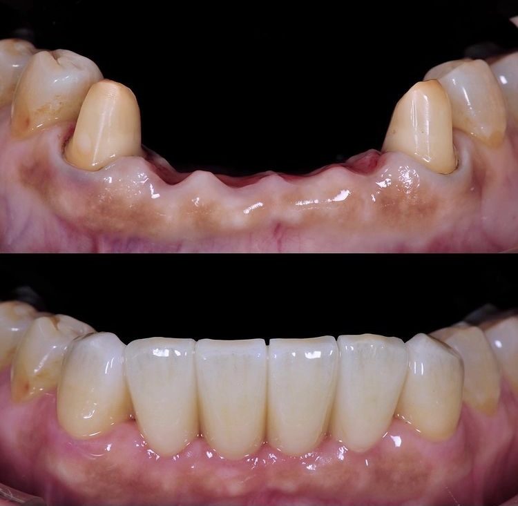
Crowns and bridges are popular dental restorations designed to restore damaged or missing teeth. A crown, often made of porcelain or ceramic, is used to cover a damaged tooth or improve its appearance, shape, or alignment. Bridges, on the other hand, are used to replace one or more missing teeth by anchoring the replacement tooth to the adjacent natural teeth or implants.

The Advantages of Choosing Crowns and Bridges

Crowns and bridges offer numerous benefits, including restoring the natural look and function of your teeth, improving your bite, and preventing shifting of adjacent teeth. They are durable, long-lasting solutions that can enhance both the aesthetics and health of your smile, providing a more stable alternative to removable dentures.

Dental Implants Image 1 Dental Implants Image 2 Dental Implants Image 3

Who needs Crowns and Bridges?

Dental crowns and bridges are essential for individuals with damaged, decayed, or missing teeth. They are often recommended for patients who experience significant tooth wear, have large fillings, or have undergone root canal treatment. Bridges are a solution for those who have lost teeth and want to restore their bite and smile.

Key reasons why someone may need crowns or bridges include:

  • Protecting a weak tooth from breaking or holding together parts of a cracked tooth.
  • Restoring a tooth that has been severely worn down or damaged by decay.
  • Replacing missing teeth to restore chewing function and maintain facial structure.
  • Enhancing the appearance of discolored or misshapen teeth for a more aesthetic smile.

What to expect during a crown and bridge procedure?

Initial Consultation: The process begins with an initial consultation, where the dentist will examine your teeth and determine if crowns or bridges are suitable for your needs. X-rays may be taken to assess the health of the surrounding teeth and jawbone.

Preparation: For crowns, the affected tooth will be reshaped to accommodate the crown. Impressions will be taken to create a custom crown that fits perfectly. If a bridge is being placed, the adjacent teeth will also be prepared for crowns to hold the bridge in place.

Temporary Restorations: While waiting for the permanent crowns or bridges to be fabricated, temporary restorations may be placed to protect the prepared teeth.

Placement: Once the custom crowns or bridges are ready, the dentist will remove the temporary restorations and place the new crowns or bridges, ensuring proper fit and alignment before permanently cementing them in place.

Maintaining Your Crowns and Bridges

Proper care for crowns and bridges is crucial for their longevity. Regular dental check-ups, good oral hygiene practices, and a healthy diet can help maintain your restorations. Your dentist will provide specific instructions on how to care for your crowns and bridges to ensure a lasting and beautiful smile.

Schedule Your Dental Appointment
with Our Expert Team