Dental Implants

Dental Implants


Understanding Dental Implants

Dental implants are revolutionary dental solutions designed to replace missing teeth. Made of durable titanium, these implants are surgically placed into the jawbone, acting as sturdy roots for artificial teeth. They are an excellent option for restoring both function and appearance, enabling patients to eat, speak, and smile with confidence.

The Advantages of Choosing Implants

Dental implants offer a range of benefits that traditional dentures and bridges cannot match. They provide a permanent solution to tooth loss, prevent jawbone deterioration, and maintain the natural shape of your face. Additionally, implants do not affect surrounding teeth, making them a healthier choice for your overall oral health.

Dental Implants Image 1 Dental Implants Image 2 Dental Implants Image 3

Who needs Dental Implants?

Dental implants are ideal for anyone missing teeth who wants to improve their chewing ability, appearance, or speech. They are especially useful when removable dentures are uncomfortable or unwearable.

People who are good candidates typically:

  • Have sufficient jawbone density to hold the implants securely.
  • Do not suffer from conditions that might hinder the healing process after surgery (such as uncontrolled diabetes, radiation or chemotherapy for cancer, or smoking, based on the surgeon's discretion).

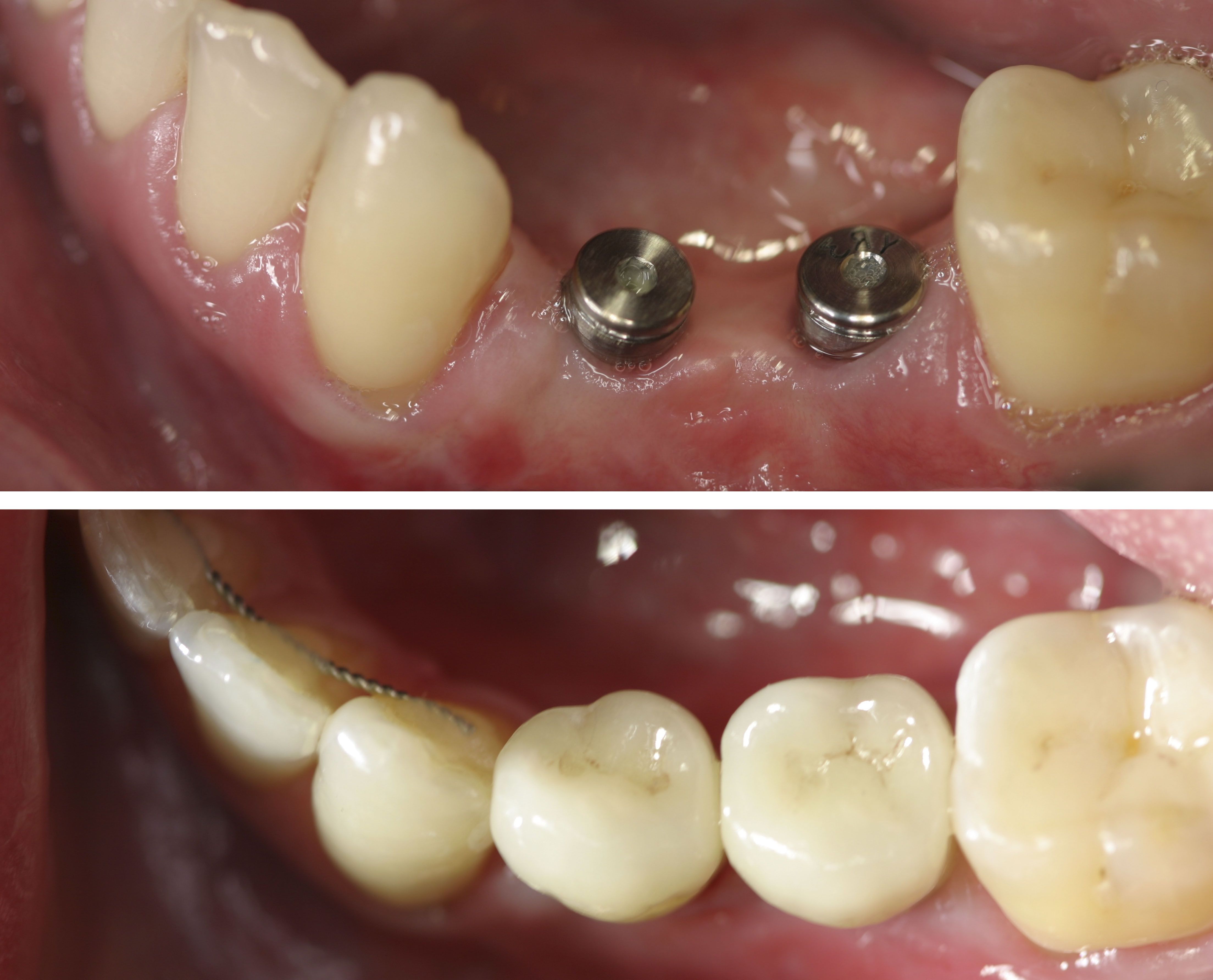
What to expect during surgery?

Stage I Surgery : Usually performed in a dental clinic, the first stage involves placing the implant into the jawbone under local anesthesia with mild sedation or, in some cases, IV sedation or general anesthesia, based on your preference. Healing and integration into the bone begin shortly after, with the implant becoming securely anchored within four to six months. In some situations, bone grafting may be necessary to ensure the implant is firmly placed.

Stage II Surgery: Once healing is complete, the second stage involves exposing the implants under local anesthesia (or sedation if preferred). At this point, the restorative dentist can begin the process of placing the crown. This is a relatively minor procedure.

Immediate Implant and Crown Surgery: In select cases, it may be possible to place the implant and temporary crown on the same day. However, bone grafting may be required for the best possible outcome.

It's time to get your new teeth!

After your gums have fully healed from Stage II surgery, you are ready for the final step—receiving your new crowns. We'll take impressions of your mouth (usually without anesthesia!), as well as records of your bite. These impressions are used to create models of your teeth, and your crowns will be designed based on these models. Depending on the complexity of your case, it may take as few as two or as many as several appointments to complete the process.

Schedule Your Dental Appointment
with Our Expert Team