Gum Surgeries

Gum Surgeries


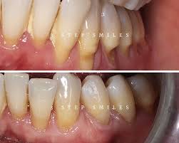
Understanding Gum Surgeries

Gum surgeries are essential dental procedures aimed at treating various periodontal issues. These surgeries are designed to restore the health of the gums, which are critical for supporting teeth. Procedures such as gum grafting or flap surgery can address problems like gum recession, periodontal disease, and bone loss. By surgically repositioning or replacing gum tissue, these Branches can improve both the function and aesthetics of a patient’s smile, allowing for better oral hygiene and reducing the risk of tooth loss.

The Advantages of Gum Surgeries

Gum surgeries offer numerous benefits that can significantly enhance oral health. They help to prevent further gum disease, reduce pockets that harbor bacteria, and promote healing in the gum tissue. Additionally, these surgeries can restore the natural contour of the gums, improving the overall appearance of the smile. With effective treatment, patients can enjoy better oral hygiene, reduced sensitivity, and a lower risk of tooth decay, making gum surgeries a vital component of periodontal care.

Dental Implants Image 1 Dental Implants Image 2 Dental Implants Image 3

Who needs Gum Surgery?

Gum surgery is often recommended for individuals suffering from advanced gum disease (periodontitis), gum recession, or cosmetic concerns related to the appearance of the gums. Patients may experience symptoms such as swollen, bleeding, or receding gums, and it’s important to seek professional care to prevent further complications.

Key reasons for considering gum surgery include:

  • Treating advanced gum disease to prevent tooth loss and restore gum health.
  • Correcting gum recession to protect tooth roots and improve aesthetics.
  • Reshaping or removing excess gum tissue for a more balanced smile.
  • Preparing the gums for dental implants or other restorative procedures.

What to expect during Gum Surgery?

Initial Consultation: The process begins with a thorough evaluation of your gum health, including measurements of gum pockets and a review of your dental history. Your dentist will discuss your symptoms and goals to determine the most appropriate surgical procedure.

Types of Gum Surgeries: Common procedures include:

  • Gingivectomy: Removal of excess gum tissue to improve the shape of the gums.
  • Gingival Grafting: Replacing lost gum tissue by grafting tissue from another part of the mouth.
  • Flap Surgery: Lifting back the gums to remove tartar and bacteria before suturing them back in place.
  • Bone Grafting: Restoring lost bone tissue to support the gums and teeth.

Recovery: After surgery, patients may experience some swelling and discomfort, which can usually be managed with prescribed pain medication. Following the post-operative care instructions is essential for a smooth recovery and successful healing.

Maintaining Gum Health

Maintaining good oral hygiene is crucial after gum surgery to prevent further gum issues. Regular dental check-ups, proper brushing and flossing techniques, and a balanced diet contribute to long-term gum health. Your dentist will provide guidance on care routines tailored to your needs.

Restoring Your Smile

Gum surgeries play a vital role in restoring both the health and aesthetics of your smile. By addressing gum issues early and effectively, you can enhance your overall oral health and achieve a more confident, beautiful smile. Consult with your dental professional to learn more about the appropriate gum surgery for your situation.

Schedule Your Dental Appointment
with Our Expert Team