Smile Design

Smile Design and Correction


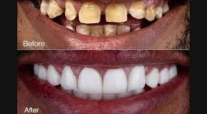
Understanding Smile Design and Correction

Smile design and correction involve a comprehensive approach to enhancing the appearance of your smile through various cosmetic dental procedures. Utilizing techniques like teeth whitening, veneers, and orthodontics, dental professionals create a customized treatment plan tailored to individual needs. These procedures can effectively address issues such as misaligned teeth, gaps, and discoloration, resulting in a harmonious and attractive smile. The ultimate goal is to improve both aesthetics and confidence, allowing patients to present their best smile in any situation.

The Advantages of Smile Design

Smile design offers numerous benefits that go beyond just aesthetics. A well-designed smile can enhance self-esteem, improve oral health, and promote better dental hygiene. Correcting alignment and spacing can make teeth easier to clean, reducing the risk of decay and gum disease. Additionally, a beautiful smile can positively impact personal and professional relationships, leading to increased opportunities and overall happiness. Investing in smile design is not just about appearance; it's about achieving a healthier, more confident you.

Dental Implants Image 1 Dental Implants Image 2 Dental Implants Image 3

Who can benefit from Smile Design?

Smile design is ideal for individuals looking to improve the aesthetics of their smile, whether due to stained, misaligned, or missing teeth. It can also address issues such as gummy smiles, uneven teeth, and facial proportions. Patients seeking a more confident smile or looking to prepare for special occasions can greatly benefit from this personalized approach.

Key reasons to consider smile design and correction include:

  • Desire to enhance the symmetry and harmony of the smile with facial features.
  • Correcting imperfections such as gaps, chips, or misaligned teeth.
  • Improving overall dental aesthetics for increased self-confidence.
  • Addressing functional issues related to tooth alignment and bite.

What to expect during a Smile Design consultation?

Initial Consultation: The process begins with a thorough consultation, during which your dentist will evaluate your dental health, discuss your goals, and take photographs and impressions of your teeth and smile. This assessment helps create a customized treatment plan that meets your aesthetic and functional needs.

Customized Treatment Plan: Based on the evaluation, your dentist will develop a tailored smile design plan that may include a combination of cosmetic procedures such as teeth whitening, bonding, veneers, crowns, and orthodontics. Each treatment option will be explained, allowing you to choose what fits your goals and budget.

Implementation: Once the treatment plan is finalized, your dentist will schedule the necessary procedures to achieve your desired smile. Depending on the complexity of your case, multiple appointments may be required to complete the smile design process.

Maintaining Your New Smile

After achieving your new smile, it's important to maintain it through regular dental check-ups, good oral hygiene, and a balanced diet. Your dentist will provide guidance on how to care for your new smile, ensuring it remains bright and healthy for years to come.

Transforming Your Smile

Smile design and correction can transform not just your smile but also your self-esteem and confidence. By working closely with your dentist to create a personalized treatment plan, you can achieve the beautiful, harmonious smile you've always wanted. Consult with your dental professional to explore how smile design can enhance your overall appearance and quality of life.

Schedule Your Dental Appointment
with Our Expert Team